Bump on tongue can be caused by this disease
Bump on tongue can be caused by this disease
Bump on tongue, always give rise to complaints are disruptive due to the taste of Scotch thereof. These complaints could be a harbinger of some diseases. Ranging from the harmless, until more serious. Knowing the causes of lumps under tongue can help you be more alert, so it can get a proper handling when needed.
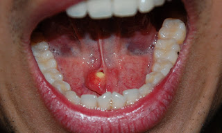
Bump in question here is not the small bulge-bulge that is normal on the surface of the tongue. These bumps are generally feels Scotch under the tongue, may even be accompanied by pain or the incidence of injuries. It can even interfere with the function of the mouth, such as to eat or speak.
Some causes of Bumps under Tongue :
- Saliva gland cancer
Saliva gland numbered hundreds and there are in the entire oral cavity, nose, and throat. Although this is the most common cancer found in the salivary gland in the cheek area (parotid gland), cancer of the saliva gland can also occur on the gland submandibular gland (the base of the mouth) and the sublingual (under the tongue). Handling may be given chemotherapy, radiotherapy, or surgery, depending on how far the travel disease and the spread of cancer cells.
- Tongue Cancer
Other possibilities when a pops up lumps under tongue is the presence of cancer of the tongue. In addition under the tongue, tongue cancer can also appear at the base (one third of the back part of the tongue) and the front part of the tongue. Tongue cancer usually occurs in people aged over 40 years. The disease is more suffered by men than women. People who are exposed to the risk of this disease is that it has the habit of smoking and consuming liquor.
- Sialolitiasis
Sialolitiasis or known as the stone of saliva gland, can cause swelling of the salivary glands, the area generally occurs at the base of the mouth (the gland submandibular gland). Besides, it can also be about salivary glands on the inside of the cheek area (parotid gland), and under the tongue (sublingual glands). If the size of the stone is still small, so the dentist can help take it out with a bit of encouragement. But for a stone of considerable size, physicians need to make the incision to remove it.
- Ranula
Ranula is a cyst caused by a clogged saliva glands in the mouth. These cysts grow as lumps under tongue or at the base of the mouth. The size of these bumps vary. There are small and not enlarged, there was also a small initially and then long to be great, generally do not cause pain. The color of the cyst can seem clear or bluish. Sometimes a ranula may cause difficulty swallowing or talking. Handling ranula is determined in accordance with its size, the doctor may do an incision to remove the cyst fluid for mengempiskannya, or suggest surgery.
Bump under tongue can indicate a variety of conditions. To be sure, you should checked himself to the dentist. Don't delay the examination of the lump under the tongue, especially if lost or failed to cause malfunctioning as well as movement on the tongue and mouth. Always keep the hygiene of the oral cavity, including the tongue, to avoid health disorders and diseases of the mouth.





0 Response to "Bump on tongue can be caused by this disease"
Post a Comment